اسامی دیگر
AFB Smear and Culture
TB Culture and Sensitivity
Mycobacteria Smear
Mycobacteria Culture
TB NAAT
Acid-Fast Bacillus Smear and Culture and Sensitivity
Mycobacteria tuberculosis Nucleic Acid Amplification Test
اسم متعارف
Acid-Fast Bacillus Testing
تاریخ آخرین بازبینیدر مورخه
تاریخ آخرین اصلاحدر مورخه December 7, 2017.
آزمایش در یک نگاه
علت انجام آزمایش؟

برای کمک به تشخیص و شناسایی عفونت ایجاد شده توسط Mycobacterium tuberculosis عامل بیماری سل (TB) و بقیه گونه های مایکوباکتریوم، که بعنوان باسیل های اسید-فست (AFB) شناخته می شوند؛ برای نظارت بر کارایی درمان

زمان انجام آزمایش؟

هنگامیکه شما دارای علائم و نشانه های یک عفونت ریه، مانند سرفه مزمن، کاهش وزن، تب و لرز و احساس ضعف هستید که میتواند بعلت عفونت با TB یا یک عفونت مایکوباکتریایی غیر-سلی باشد؛ زمانی که شما با یک نتیجه مثبت تست غربالگری سل مواجه شده و در گروه با ریسک-بالا برای پیشرفت به بیماری فعال قرار گرفته اید؛ موقعیکه عفونت پوستی یا محل دیگری از بدن را دارید که میتواند بعلت مایکوباکتری ها باشد؛ زمانی که تحت درمان سل (TB) قرار میگیرید

نمونه مورد نیاز

برای موارد مشکوک به عفونت های ریوی سل، معمولاً سه نمونه خلط در اول صبح به روش های مختلفی جمع آوری می شود. اگر فرد خلط نداشته باشد، یک برونشوسکوپ میتواند برای جمع آوری مایعات در طی روشی بعنوان برونشوسکوپی مورد استفاده قرار گیرد. در بچه ها، محتویات حاصل از شستشوی معده و آسپیره میتوانند جمع آوری شوند. بسته به علائم، ادرار، آسپیره از محل مشکوک به عفونت، مایع مغزی نخاعی (CSF)، بقیه مایعات بدن یا نمونه های بافتی برداشته شده میتوانند برای اسمیر و کشت در نظر گرفته شوند.

آمادگی‌های لازم پیش از نمونه‌گیری

آمادگی لازم ندارد

نتایج آزمایش خود را می‌توانید در وب‌سایت آزمایشگاه یا در پورتال بیمار مشاهده کنید. در حال حاضر شما در وب‌سایت LabTests هستید که احتمالا به منظور دریافت اطلاعاتی در مورد آزمایش‌هایی که انجام داده‌اید، از طریق وب‌سایت آزمایشگاه خود به این وب‌سایت وارد شده‌اید. البته برای مشاهده‌ی نتایج آزمایش‌های خود، لازم است تا دوباره به وب‌سایت آزمایشگاه خود مراجعه کرده و یا با پزشک خود تماس بگیرید.

این وب‌سایت یک وب‌سایت آموزشی برای بیمار است و اطلاعاتی را در مورد آزمایش‌ها به بیمار ارائه می‌دهد. مطالب موجود در این سایت، که توسط متخصصین آزمایشگاهی و دیگر متخصصین حوزه‌ی پزشکی بررسی شده است، توضیحات کلی درباره تفسیرهای احتمالی نتایج آزمایش‌های ذکر شده در سایت می‌باشد. به عنوان مثال در صورت مقادیر بالا یا پایین نتایج آزمایش‌ها، اطلاعاتی در مورد وضعیت احتمالی سلامتی یا بیماری در اختیار پزشک قرار می‌گیرد.

محدوده‌ی مرجع این آزمایش را می‌توانید در برگه‌ی جواب آزمایش خود مشاهده نمایید. محدوده‌های مرجع، معمولا در سمت راست برگه‌ی آزمایش درج می‌شوند.

اگر به برگه‌ی جواب‌دهی دسترسی ندارید، برای دریافت محدوده‌ی مرجع، می‌توانید با پزشک خود یا با آزمایشگاهی که آزمایش را آن‌جا انجام داده‌اید، تماس بگیرید.

جهت تفسیر نتایج تست‌های آزمایشگاهی، می‌بایست این نتایج نسبت به محدوده‌ی مرجع مقایسه شوند. محدوده‌ی مرجع، نتایج مورد انتظار در یک فرد سالم می‌باشد. گاهی اوقات، به این محدوده، محدوده‌ی نرمال نیز گفته می‌شود. با مقایسه‌ی نتایج آزمایش خود با محدوده‌ی مرجع، می‌توان از غیرطبیعی بودن نتایج آزمایش خود نسبت به محدوده‌ی مورد انتظار آگاه شد. مقادیری که خارج از محدوده‌ی مورد انتظار هستند؛ می‌توانند سرنخ‌هایی برای شناسایی شرایط و بیماری‌های احتمالی باشند.

اگر‌چه در چند دهه‌ی گذشته، صحت تست‌های آزمایشگاهی به طور قابل ملاحظه‌ای افزایش یافته است؛ اما به علت تفاوت در تجهیزات، معرف‌های شیمیایی و تکنیک‌ها، ممکن است بین آزمایشگاه‌های مختلف تفاوت‌هایی در نتایج آزمایش‌ها دیده شود و وجود محدوده‌‌های مرجع متفاوت در این سایت نیز به همین علت می‌باشد. این مهم است که بدانید، جهت مقایسه‌ی نتایج آزمایش خود با نتایج مورد انتظار، حتما از محدوده‌ی مرجعی که توسط آزمایشگاه انجام دهنده‌ی آزمایش شما ارائه شده است استفاده نمایید.

جهت اطلاعات بیشتر، به قسمت محدوده‌ی مرجع و تفسیر آن‌ها رجوع کنید.

هدف از آزمایش؟

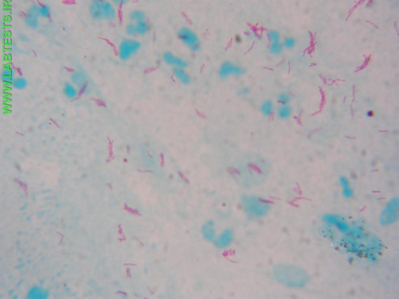
بیشتر نمونه هایی که برای تست باسیل های اسید-فست (AFB) در نظر گرفته شده اند، جمع آوری می گردند زیرا پزشک مشکوک است که فرد دارای سل (TB)، یک عفونت ریه بوده که توسط Mycobacterium tuberculosis ایجاد شده است. مایکوباکتری ها بعنوان باسیل های اسید-فست شناخته می شوند زیرا گروهی از باکتری های میله ای-شکل (باسیل) بوده که می توان آنها را بعد از انجام یک روش رنگ آمیزی زیر میکروسکوپ مشاهده کرد که در آن باکتری ها آن رنگ را پس از شستشو با اسید حفظ می کنند (اسید-فست). تست های آزمایشگاهی AFB باکتری ها را در نمونه شخص تشخیص داده و به شناسایی عفونت ایجاد شده با AFB کمک می کنند.

انواع متعددی از AFP وجود دارد که با این تست قابل تشخیص هستند؛ اگرچه، معمولترین و مهمترین آنها اعضای جنس مایکوباکتریوم هستند. Mycobacterium tuberculosis یکی از شایعترین گونه های عفونی مایکوباکتری ها می باشد.

با توجه به اینکه TB هنگام عطسه، سرفه، صحبت کردن یا خواندن فرد از طریق هوا منتقل می شود، از اینرو بعنوان یک ریسک عمومی می باشد. این بیماری در جمعیت های متراکم و در فضای محدود مانند خانه و مدارس، مراکز اصلاح و تربیت مانند زندان ها و مراکز نگهداری میتواند پراکنده شود. آنهایی که بسیار جوان هستند، افراد مسن تر یا آنهایی که دارای بیماری ها و وضعیت های دیگری مانند ایدز می باشند که سیستم ایمنی آنها را بخطر انداخته است، بوِیژه آسیب پذیرتر نسبت به این بیماری هستند. تست AFB میتواند به ردیابی و به حداقل رساندن گسترش سل در این جوامع کمک کرده و در تعیین کارایی درمان یاری رساند.

گروه دیگری از مایکوباکتری ها که با عنوان مایکوباکتری های غیرسلی (NTM) شناخته می شوند نیز میتوانند باعث عفونت گردند. اگزچه، فقط تعداد کمی از 60 گونه مایکوباکتری های شناخته شده باعث عفونت در انسان ها می گردند. برخی مثال ها شامل مجموعه Mycobacterium avium-intracellulare (MAC) بوده که میتوانند عفونت ریه را در افراد با سیستم ایمنی ضعیف ایجاد کنند و Mycobacterium marinum که میتواند عفونت های پوستی ایجاد کند. (این مقاله را برای جزئیات بیشتر درباره انواع مختلف مایکوباکتری های غیر-سلی ببینید). علاوه بر TB، تست AFB میتواند به شناسایی عفونت های ایجاد شده توسط مایکوباکتریوم های غیر-سلی کمک نماید.

تست های آزمایشگاهی AFB شامل موارد زیر هستند:

  • اسمیر AFB- آزمایش میکروسکوپی نمونه فرد که برای تشخیص باکتری های اسید-فست رنگ آمیزی شده است. این تست میتواند نتایج احتمالی را طی چندین ساعت فراهم آورد. این یک ابزار باارزش در کمک به تصمیم گیری درباره درمان می باشد، زمانیکه نتایج کشت هنوز آماده نشده اند.
  • تست های ملکولی برای TB (آزمایش ازدیاد اسید نوکلئیک، NAAT) - اجزای ژنتیکی مایکوباکتری ها را شناسایی کرده و اغلب زمانی انجام می شود که اسمیر AFB مثبت بوده یا بسیار مشکوک به سل است. مشابه با اسمیر AFB، اینها میتوانند تشخیصی احتمالی و پیش فرض را فراهم کنند که میواند به تصمیم گیری شروع درمان پیش از اینکه نتایج کشت آماده شوند، کمک کنند. نتایج NAAT معمولاً چندین ساعت پس از جمع آوری نمونه در دسترس می باشند.
  • کشت های AFB برای رشد باکتری ها همزمان با اسمیر AFB تنظیم می شوند. با توجه به اینکه کشت از اسمیر AFB حساستر می باشد، روزها تا چندین هفته طول می کشد تا نتایج آن آماده شوند.
  • انجام تست حساسیت بر باکتری های اسید-فست رشد کرده در کشت های مثبت، تعیین کننده حساسیت یا مقاومت آنها نسبت به داروهایی می باشد که در درمان عفونت بطور متداول مورد استفاده قرار می گیرند.
     

نحوه جمع‌آوری نمونه برای انجام آزمایش؟

با توجه به اینکه M. tuberculosis و M. avium اغلب باعث عفونت در ریه ها می شوند (بیماری ریوی)، خلط سینه متداولترین نمونه مورد آزمایش است. خلط، مخاط ضخیمی است که از ریه ها با سرفه به خارج کشیده می شود. معمولاً، سه نمونه اول صبح در روزهای متوالی در ظروف استریل جداگانه جهت افزایش احتمال تشخیص باکتری ها جمع آوری می شوند.

اگر فردی نتواند خلط ایجاد کند، پزشک ممکن است نمونه های تنفسی را با استفاده از روشی با عنوان برونشوسکوپی جمع آوری کند. برونشوسکوپی به پزشک اجازه می دهد تا نمونه ها را بررسی و آنها را از نایچه ها و نایژک ها جمع آوری کند. بعد از بی حسی موضعی که با اسپری در راه هوایی بالایی بیمار ایجاد می شود، پزشک میتواند یک لوله را به درون نایژه ها و نایژک های کوچکتر فرو بده و نمونه های مایع را برای آزمایش آسپیره کند. گاهی اوقات، پزشک مقداری کم از سالین را از طریق لوله گذاری به درون نایژه ها وارد کرده و سپس آن را برای جمع آوری مایعات حاصل از شستشوی نایژه ها آسپیره می کند.
 

از آنجایکه بچه های کم سن نمیتوانند نمونه خلط ایجاد کنند، آسپیره های حاصل از شستشوی معده را میتوان جمع آوری کرد. این شامل وارد کردن سالین به معده از طریق یک لوله و سپس کشیدن به بیرون (آسپیره کردن) مایعات می باشد.

اگر پزشک احتمال دهد که TB خارج از ریه ها وجود دارد (خارج ریوی)، وضعیتی که کاملاً در بیماران مبتلا به AIDS شایع است، ممکن است که سیالات و بافت هایی از بدن را مورد آزمایش قرار دهد که بیشتر از همه تحت تأثیر قرار گرفته اند. بعنوان مثال، اگر پزشک مشکوک به عفونت در کلیه ها باشد، یک یا چند نمونه ادرار جمع آوری می شود. میتوان از یک سوزن برای جمع آوری مایعات از مفاصل یا از بقیه حفره های بدن مانند غشاء خارجی قلب یا شکم استفاده کرد. گاهی اوقات، پزشک شاید نمونه ای را از مایع مغزی نخاعی (CSF) جمع آوری کرده یا از یک روش جراحی مختصر برای کسب نمونه بافتی استفاده کند.

برای تهیه نمونه مناسب رعایت چه شرایطی الزامی می‌باشد؟

هیچ آمادگی برای تست لازم نمی باشد.

Accordion Title
سوالات رایج
  • این آزمایش در چه مواردی کاربرد دارد؟

    تست AFB میتواند برای تشخیص انواع مختلف باسیل های اسید-فست مورد استفاده قرار گیرد، اما اغلب برای شناسایی یک عفونت سل فعال ایجاد شده توسط مهمترین AFB از نظر پزشکی، Mycobacterium tuberculosis بکار می رود.

    مایکوباکتری ها بعنوان باسیل های اسید-فست شناخته می شوند زیرا اینها باکتری های میله ای-شکل (باسیل) هستند که پس از یک روش رنگ آمیزی که در آن باکتری ها پس از شستشو با اسید آن رنگ را حفظ می کنند (اسید-فست)، میتوان آنها را زیر میکروسکوپ مشاهده کرد.

    تعدادی تست مختلف را میتوان برای کمک به شناسایی AFB بعنوان علت عفونت مورد استفاده قرار داد:

    • اسمیر AFB میتواند به عنوان یک تست سریع برای تشخیص مایکوباکتری هایی بکار رود که باعث عفونتی مانند سل می شوند. نمونه به صورت یک لایه نازک بر روی یک اسلاید شیشه ای پخش شده و با یک رنگ خاص رنگ آمیزی شده و زیر میکروسکوپ برای باکتری های "اسید-فست" مورد بررسی قرار میگیرد. این روشی نسبتاً سریع برای دانستن این است که آیا عفونت میتواند بعلت یکی از مایکوباکتری هایی مانند M.tuberculosis باشد. اسمیرهای AFB میتوانند نتایج احتمالی و مفروضی را در طی چندین ساعت ارائه داده و در کمک به اتخاذ تصمیمات درباره درمان در حالیکه نتایج کشت هنوز آماده نشده اند، باارزش هستند. اگرچه، این تست سریع برای تشخیص یک عفونت باکتریایی از حساسیت کمتری نسبت به کشت برخوردار می باشد.
    • یک تست مولکولی برای TB با عنوان آزمایش تکثیر اسید نوکلئیک (NAAT) را می توان بهمراه اسمیر AFB انجام داد. NAAT اجزاء ژنتیکی مایکوباکتری ها را با تکثیر و همانندسازی قطعات ماده ژنتیکی میکروارگانیزم، شناسایی می کند. این تست ها میتوانند در کاهش میزان زمان لازم برای یک تشخیص احتمالی سل به کمتر از 24 ساعت، مفید باشند. این تست میتواند شناسایی را به مجموعه ای از مایکوباکتری ها (ترکیبی که M. tuberculosis شایعترین آنها می باشد)، محدود کند. زمانی که این تست ها بر نمونه هایی انجام شوند که در آنها باکتری های اسید-فست بر روی اسمیر دیده شده اند، کاملاً حساس و اختصاصی می باشند. زمانیکه آنها بر نمونه هایی انجام شوند که بر اساس اسمیر، AFB منفی هستند، دارای حساسیت کمتری می باشند. روش های تست برای نمونه های تنفسی تأئید شده اند اما باید با کشت AFB تأئید شوند. اینها پاسخی سریع را برای پزشک فراهم کرده و به او اجازه می دهند تا افراد بالقوه عفونی را جدا کرده و گسترش بیماری را به حداقل برساند. دستورالعمل های مراکز کنترل و پیشگیری از بیماری توصیه می کنند که افرادی که علائم و نشانه های TB را دارند حداقل یک نمونه را با استفاده از تکثیر اسید نوکلئیک به همراه اسمیر و کشت AFB مورد آزمایش قرار دهند.
       
    • کشت های AFB برای تشخیص عفونت های M.tuberculosis فعال، عفونت های مایکوباکتری های غیرسلی یا برای تعیین اینکه آیا علائم شبه-سل بعلت دیگری می باشند، مورد استفاده قرار می گیرند. آنها جهت کمک به تشخیص این بکار می روند که آیا TB محدود به ریه هاست (بیماری ریوی) یا به اعضایی خارج از ریه ها گسترش یافته است (بیماری خارج ریوی). کشت های AFB همچنین میتوانند برای نظارت بر تأثیر درمان استفاده شده و در فهمیدن اینکه فرد دیگر عفونت ندارد، بکار روند. با توجه به اینکه این تست نسبت به اسمیر AFB حساستر است، مدت زمان بیشتری طول می کشد تا نتایج آماده شوند. مایکوباکتری ها نسبت به بقیه انواع باکتری ها رشد آهسته تری دارند از اینرو شناسایی مثبت آنها ممکن است از چندین روز تا چندین هفته طول بکشد، در حالیکه تأئید نتایج منفی (بدون رشد مایکوباکتریومی) میتواند 6 تا 8 هفته بطول بیانجامد.
    • تست حساسیت معمولاً به همراه کشت AFB برای تعیین موثرترین آنتی بیوتیک برای درمان عفونت مایکوباکتریایی توصیه می شود. M.tuberculosis ممکن است به یک یا چند دارو که معمولاً برای درمان TB استفاده می شوند، مقاوم باشد. علاوه بر تست حساسیت روتین، در حال حاضر برخی تست های ملکولی موجود بوده که میتوانند ژن هایی را در باکتری ها شناسایی کنند که نسبت به اغلب داروهایی که معمولاً تجویز می گردند، مقاومت ایجاد می کنند.
  • این آزمایش در چه زمانی درخواست داده می‌شود؟

    تست AFB در مواقع زیر تجویز می شود:

    • فردی که علائمی دارد که نشاندهنده سل ریوی یا بقیه عفونت های مایکوباکتریایی ریه می باشد، مانند:
       
      • سرفه طولانی مدت مزمن با خلط گاهی همراه با رگه های خون آلود
      • تب و لرز
      • عرق های شبانه
      • از دست دادن اشتها
      • کاهش وزن بی دلیل
      • ضعف و خستگی
      • درد سینه
         
    • فرد علائمی دارد که مرتبط با TB یا دیگر عفونت های مایکوباکتریایی است که در خارج از ریه ها ایجاد شده اند (خارج ریوی)؛ علائم بسته به بخشی از بدن که تحت تأثیر قرار گرفته، متفاوت می باشند. برخی از مثال ها شامل درد پشت و فلجی کامل (سل نخاعی)، ضعف بعلت کم خونی (سل در مغز استخوان)، تغییر وضعیت روانی، سردرد و کما (مننژیت سلی)، درد مفاصل یا درد شکمی می باشند.
    • تست غربالگری سل مثبت بوده و فرد در معرض ریسک بالای بیماری فعال است و علائم مشخصه در عکسبرداری اشعه ایکس ریه مشاهده می شوند.
    • فردی که در تماس نزدیک با فرد مبتلا به سل تشخیص داده شده بوده و فرد در معرض یا دارای علائم است یا وضعیت یا بیماری دارد که او را در ریسک بسیار بالاتر برای ابتلا به این بیماری قرار می دهد، مانند ایدز. (آنهایی که مبتلا به ایدز هستند، شانس بالاتری در داشتن سل خارج ریوی با علائم محدود و مبهم، نسبت به بقیه افراد دارند.)
    • فرد تحت درمان سل می باشد؛ تست AFB در مقاطعی هم برای ارزیابی اثربخشی درمان و برای دانستن اینکه فرد هنوز مبتلا به عفونت می باشد یا خیر، تجویز می شود.
    • فرد دارای یک عفونت پوستی مزمن بوده که به آنتی بیوتیک های معمولی که برای یک عفونت باکتریایی داده می شوند، پاسخ نمی دهد؛ NTM میتواند علت عفونت باشد از آنجائیکه آنها به همان آنتی بیوتیک هایی که برای درمان عفونت استافیلوکوکی یا استرپتوکوکی استفاده می شوند، پاسخ نمی دهند.
  • نتایج این آزمایش چگونه تفسیر می‌شود؟

    اسمیر AFB و NAAT
    یک نتیجه منفی برای اسمیر AFB احتمالاً به این معنی باشد که هیچ عفونتی وجود دارد، اینکه علائم توسط چیز دیگری غیر از مایکوباکتری ها ایجاد شده یا اینکه مایکوباکتری ها به تعداد کافی برای مشاهده شدن زیر میکروسکوپ وجود نداشته اند. معمولاً سه نمونه برای افزایش احتمال تشخیص ارگانیزم ها جمع آوری می گردد. با این حال، اگر اسمیرهای ABF منفی بوده و هنوز ظن قوی برای عفونت مایکوباکتریایی وجود داشته باشد، پس نمونه های بیشتری باید جمع آوری شده و به روش های مختلفی مورد آزمایش قرار گیرند. ممکن است در یک نمونه اسمیر منفی مایکوباکتری ها هنوز رشد داشته باشند از آنجائیکه محیط های کشت اجازه می دهند تا تعداد کمی از باکتری ها که در بررسی میکروسکوپی قابل مشاهده نیستند، تکثیر شده و شناسایی گردند.

    اسمیرهای AFB مثبت اشاره بر یک عفونت احتمالی مایکوباکتریایی دارند. اگرچه، برای تأئید تشخیص و شناسایی گونه های موجود مایکوباکتری ها، کشت باید صورت پذیرد.

    بر اساس دستورالعمل های مراکز کنترل و پیشگیری از بیماری، افرادی که دارای علائم و نشانه های یک عفونت فعال TB هستند، نتایج اسمیر AFB همراه با نتایج NAAT برای TB در نظر گرفته می شوند. با وجود آنکه، تشخیص قطعی نیاز به نتایج کشت دارد، نتایج اسمیر و NAAT میتوانند در تصمیم گیری برای اقدامات لازم، مفید باشند. بعنوان مثال، اگر یک تشخیص احتمالی از TB مبتنی بر نتایج تست سریع وجود داشته باشد، بیشتر پزشکان شروع به درمان می کنند.

    تفسیر نتایج اسمیر و NAAT در جدول زیر خلاصه شده اند. مجدداً، همه نتایج باید بوسیله کشت تأئید شوند.

     نتیجه اسمیر AFB نتایج NAAT برای TB تفسیر نتایج
    مثبت مثبت تشخیص احتمالی TB
    منفی مثبت NAAT نسبت به اسمیر حساستر می باشد، بنابراین میتواند در افرادی اتفاق افتد که واقعاً مبتلا به این بیماری هستند؛ هنگام استفاده از روش NAAT میتوان از نمونه های بیشتری استفاده کرد. اگر نتیجه NAAT برای بیش از یک نمونه مثبت باشد، این یک تشخیص احتمالی برای سل خواهد بود.
    مثبت منفی نتایج سؤال برانگیز برای TB؛ شاید یک بازدارنده در نمونه موجود بوده یا اینکه AFB مشاهده شده بر اسمیر، M.tuberculosis نباشد. میتوان آزمایشی را برای وجود آن بازدارنده انجام داد.

     

    منفی منفی احتمالاً علائم بعلت عفونت مایکوباکتریایی نباشند.

    کشت AFB
    نتایج مثبت کشت های AFB، مایکوباکتریم خاصی را که باعث ایجاد علائم می گردد، شناسایی می کنند و تست حساسیت بر ارگانیزم شناسایی شده، اطلاعاتی را درباره اینکه این باکتری به چه میزان مقاوم بوده و درمان احتمالی آن، به پزشک می دهد.

    یک اسمیر یا کشت مثبت AFB چندین هفته پس از آغاز درمان دارویی میتواند به این معنی باشد که رژیم درمانی مؤثر نبوده و نیاز به تغییر دارد. این همچنین به این معنی بوده که هنوز احتمال عفونی بودن برای فرد وجود داشته و میتواند مایکوباکتری ها را از طریق سرفه یا عطسه به دیگران انتقال دهد.

    یک کشت منفی اینطور تفسیر می گردد که فرد مورد آزمایش دارای عفونت فعال AFB نبوده یا اینکه مایکوباکتریومی در آن نمونه خاص وجود نداشته است (دلیل جمع آوری چندین نمونه) یا تعدادشان برای شناسایی خیلی کم می باشد. کشت ها پیش از اینکه بصورت منفی گزارش شوند، شش تا هشت هفته نگهداری می شوند. ممکن است فرد دارای یک عفونت نهان بوده که باعث مثبت شدن تست غربالگری TB شده اما دارای TB فعال نمی باشد.

    اگر فردی دارای عفونت TB در بخش دیگری از بدن باشد، شاید نوع متفاوتی از نمونه برای جمع آوری و تست جهت شناسایی عفونت لازم باشد.

    نتیجه کشت منفی چندین هفته پس از درمان نشاندهنده این است که عفونت TB به درمان دارویی پاسخ داده و اینکه فرد دیگر مبتلا به عفونت نیست.

    تست حساسیت
    نتایج تست حساسیت، آنتی بیوتیک هایی را که احتمالاً در درمان عفونت مؤثر خواهند بود، مشخص می کند. ایزونیازید و ریفامپین دو دارویی هستند که معمولاً برای درمان TB استفاده می شوند. اگر باکتری ها به بیش از یک دارو یا داروهای اصلی مورد استفاده برای درمان مقاوم باشند، به این ارگانیزم ها TB مقاوم به چند دارو (MDR-TB) گفته می شود و اگر ارگانیزم ها به چندین دارو که برای خط اول و دوم درمان تأئید شده اند، مقاوم باشند، به آنها سل مقاوم به بسیاری از داروها (XDR-TB) اطلاق می گردد.

  • آیا اطلاعات بیشتری برای بیمار مورد نیاز است؟

    TB نیاز به دوره طولانی مدت درمان با آنتی بیوتیک های متعدد دارد که عفونت فعال را ریشه کن کنند. افرادی که مبتلا به عفونت های غیرفعال (نهان) هستند، با وجود این که بدون علامت می باشند، احتمالاً با یک دز منفرد برای کاهش ریسک عفونت در آینده، درمان گردند.

    یک روش آزمایشگاهی سریعتر برای کشت Mycobacterium tuberculosis ایجاد شده است. کشت نمونه در یک محیط کشت مایع، امکان شناسایی سریعتر باکتری ها را فراهم می کند. برخی از کشت های مایع، نیاز به تجهیزات ماشینی برای تشخیص مایکوباکتری ها دارند، در حالیکه بقیه روش ها میتوانند به صورت دستی انجام شوند. یک روش کشت مایع، با عنوان سنش حساسیت-دارویی همراه با مشاهده-میکروسکوپی (MODS)، برای تشخیص TB و تعیین مقاومت دارویی به آنتی بیوتیک ها در یک زمان، فقط به 7 روز نیاز دارد. از آنجائیکه این روش میتواند وجود TB مقاوم به چند دارو (MDR-TB) را بسیار سریعتر از کشت سنتی تشخیص دهد، می تواند به پزشکان در تشخیص و درمان بیماری در مراحل اولیه کمک کرده و دارای پتانسیل کمک به کنترل انتشار سل عفونی می باشد. مزایا و محدودیت های این تست غیر-خودکار هنوز در کشورهای با منابع محدود با شیوع بالای TB، در حال ارزیابی می باشند.

    در دسامبر 2010، سازمان بهداشت جهانی، استفاده از سنجش تکثیر اسید نوکلئیک بر پایه کارتریج را که میتواند به صورت همزمان سل و مقاومت به ریفامپین را مستقیماً از خلط در کمتر از دو ساعت تشخیص دهد، توصیه کرد. این روش در جولای 2013 برای ورود به بازار آمریکا تأئید شد و بتازگی توسط بسیاری از آزمایشگاه ها پذیرفته شده است. اگرچه، این تست NAAT جایگزین کشت های AFB نمی گردد. مطابق با مراکز کنترل و پیشگیری از بیماری ها، همه نمونه هایی که برای تست AFB ارائه می شوند، باید برای اطمینان از وجود هر گونه مایکوباکتریوم برای آزمایشات بیشتر، مورد کشت قرار گیرند.

  • ممکن است که من مبتلا به عفونت سل (TB) بوده ولی بیمار نباشم؟

    بله. بسیاری مردم در ایالات متحده و در سرتاسر جهان وجود دارند که دارای شکلی نهان از عفونت سل می باشند. آنها در معرض باکتری ها قرار گرفته اند، اما سیستم ایمنی آنها باکتری را در یک ناحیه ریه شان به صورت شکل غیرفعال محدود کرده است. افرادی که عفونت های سلی پنهان را دارند، بیمار نبوده و عفونی نیستند، اما باکتری ها هنوز آنجا بوده و زنده می باشند. اگر آنهایی که دارای عفونت های نهان هستند، مورد آزمایش قرار گیرند، اغلب در تست پوستی سل، مثبت خواهند بود. اکثریت افرادی که دارای عفونت نهان سل می باشند، تقریباً 90%، هرگز به بیماری فعال پیشرفت نخواهند کرد.

    آنهایی که سل فعال دارند، شاید در ابتدا احساس این بیماری را نداشته باشند. علائم اولیه شاید نامحسوس باشند و اگر سل به صورت خارج ریوی باشد (خارج از ریه در اعضایی مانند کلیه و استخوان)، تا زمان ایجاد علائم قابل ملاحظه، ممکن است کاملاً پیشرفت کرده باشد.

  • چه تفاوتی بین سل مقاوم به چند دارو (MDR-TB) و سل مقاوم به بسیاری از داروها (XDR-TB) وجود دارد؟

    هر دو، استرین هایی از Mycobacterium tuberculosis را در بر دارند که درمان آنها مشکل می باشد، اما XDR-TB به بیشتر درمان های دارویی مقاوم است. MDR-TB به قوی ترین دو دارو، ایزونیازید و ریفامپین مقاوم می باشد. XDR-TB در حال حاضر توسط مراکز کنترل و پیشگیری از بیماری ها و سازمان بهداشت جهانی بعنوان مایکوباکتریوم توبرکلوزیسی تعریف می شود که به ایزونیازید و ریفامپین بعلاوه هرگونه فلوروکینولون و حداقل به یکی از سه داروی "خط-دوم" قابل تزریق (آمیکاسین، کانامایسین یا کاپرومایسین)، مقاوم است. ظهور XDR-TB تحت نظارت دقیق انجمن های پزشکی دنیا بوده و اقداماتی با امید محدود کردن انتشار آن در حال انجام می باشند.

  • به چه دلیل پزشک از من درخواست می کند که داروی TB خود را با حضور یک پرستار مصرف کنم؟

    عمل مصرف داروهای سل در حضور یک پزشک بعنوان درمان تحت نظارت مستقیم (DOT) شناخته می شود. DOT تضمین می کند که افراد داروهای خود را مصرف کرده و درمان شان را در طول مدت زمان لازم ادامه می دهند. برخلاف بقیه عفونت های باکتریایی که طی 7 تا 10 روز قابل درمان هستند، سل باید با دو یا چند دارو طی چندین ماه درمان گردد. افراد وقتی احساس بهبود می کنند، فراموش می کنند که به مصرف دارویی خود ادامه دهند. از آنجائیکه درمان دارویی TB ماه ها زمان می برد، خطر عدم-ایجاب و مصرف نکردن داروها بالاست. اگر استعمال داروها توسط یک پزشک بصورت هفتگی انجام شود، احتمال تکمیل کل رژیم درمانی را بالا برده و شانس عود بیماری را در فرد توسط یک سویه مقاومتر TB کاهش می دهد.

  • علاوه بر سل، چه نوع دیگری از مایکوباکتریوم ها را میتوان با آزمایش AFB شناسایی کرد؟

    انواع دیگر مایکوباکتریوم ها که میتوانند باعث عفونت شده و با استفاده از تست های AFB قابل شناسایی هستند، شامل موارد زیر می باشند:

    • مجموعه Mycobacterium avium-intracellulare (MAC) - که میتواند باعث عفونت در افراد با سیستم ایمنی ضعیف گردد، مانند افرادی که مبتلا به ایدز هستند؛ این عفونت مسری نمی باشد اما درمان آن مشکل است زیرا نسبت به آنتی بیوتیک ها بسیار مقاوم می باشد.
    • گونه های مایکوباکتریایی مانند Mycobacterium marinum، در آب رشد می کنند، مانند حوضچه های ماهی، و میتوانند باعث عفونت های پوستی گردند.
    • Mycobacterium fortuitum و Mycobacterium chelonae و بقیه مایکوباکتریوم های با رشد سریع، پس از جراحی های زیبایی، کاشت ایمپلنت و رفتن به مکان های آرایش ناخن، باعث عفونت های پوستی و زخم می گردند.
    • تعداد کمی از مایکوباکتری ها، مانند Mycobacteriu bovis، میتوانند گاهی اوقات از حیوانات به انسان ها منتقل شوند.
       

    برای مثال ها و توضیحات بیشتر، مقاله درباره مایکوباکتریوم های غیرسلی را ملاحظه کنید.

    گونه های نوکاردیا، نوعی از مایکوباکتریوم ها نمی باشند اما با استفاده از تست های آزمایشگاهی AFB قابل شناسایی هستند. نوکاردیا میتواند باعث عفونت های ریه ها، مغز یا پوست گردد.

     

مشاهده منابع
منابع مورد استفاده در این مطلب

Herchline, T. and Amorosa, J. (Updated 2014 June 9). Tuberculosis. Medscape Reference [On-line information]. Available online at http://emedicine.medscape.com/article/230802-overview through http://emedicine.medscape.com. Accessed August 2014.

(© 1995–2014). Acid-Fast Smear for Mycobacterium. Mayo Clinic Mayo Medical Laboratories [On-line information]. Available online at http://www.mayomedicallaboratories.com/test-catalog/Overview/8213 through http://www.mayomedicallaboratories.com. Accessed August 2014.

Koirala, J. (Updated 2014 March 14). Mycobacterium Avium-Intracellulare. Medscape Reference [On-line information]. Available online at http://emedicine.medscape.com/article/222664-overview through http://emedicine.medscape.com. Accessed May 2014.

Zieve, D. (Updated 2013 November 20). Acid-fast stain. MedlinePlus Medical Encyclopedia [On-line information]. Available online at http://www.nlm.nih.gov/medlineplus/ency/article/003766.htm through http://www.nlm.nih.gov. Accessed August 2014.

(Updated 2014 May). Mycobacterium tuberculosis – TB. ARUP Consult [On-line information]. Available online at http://www.arupconsult.com/Topics/TB.html through http://www.arupconsult.com. Accessed August 2014.

Dugdale, D. (Updated 2011 December 6). Sputum stain for mycobacteria. MedlinePlus Medical Encyclopedia [On-line information]. Available online at http://www.nlm.nih.gov/medlineplus/ency/article/003724.htm through http://www.nlm.nih.gov. Accessed August 2014.

Pagana, K. D. & Pagana, T. J. (© 2011). Mosby's Diagnostic and Laboratory Test Reference 10th Edition: Mosby, Inc., Saint Louis, MO. Pp 983-984.

Availability of an Assay for Detecting Mycobacterium tuberculosis, Including Rifampin-Resistant Strains, and Considerations for Its Use — United States, 2013. Morbidity and Mortality Weekly Report October 18, 2013 / 62(41);821-824. Available online at http://www.cdc.gov/mmwr/preview/mmwrhtml/mm6241a1.htm?s_cid=mm6241a1_e through http://www.cdc.gov. Accessed Sept 2014.

Food and Drug Administrations News Release: FDA permits marketing of first U.S. test labeled for simultaneous detection of tuberculosis bacteria and resistance to the antibiotic rifampin. July 25, 2013. Available online http://www.fda.gov/NewsEvents/Newsroom/PressAnnouncements/ucm362602.htm through http://www.fda.gov. Accessed September 2014.

(February 11, 2014) Centers for Disease Control and Prevention. A New Tool to Diagnose Tuberculosis: The Xpert MTB/RIF Assay. Available online at http://www.cdc.gov/tb/publications/factsheets/testing/Xpert_MTB-RIF.htm through http://www.cdc.gov. Accessed September 2014.

منابع مورد استفاده در بررسی‌های قبلی

Thomas, Clayton L., Editor (1997). Taber's Cyclopedic Medical Dictionary. F.A. Davis Company, Philadelphia, PA [18th Edition].

Pagana, Kathleen D. & Pagana, Timothy J. (2001). Mosby's Diagnostic and Laboratory Test Reference 5th Edition: Mosby, Inc., Saint Louis, MO.

Heimerdinger, M. (2000). Tuberculosis. ACP-ASIM [On-line session report]. Available online at http://www.acponline.org/vas2000/sessions/tb.htm through http://www.acponline.org.

Kirchner, J. (2000 February 1). Do Sputum Smears Positive for AFB Signify Treatment Failure? American Family Physician [On-line journal]. Available online at http://www.aafp.org/afp/20000201/tips/25.html through http://www.aafp.org.

Jerant, A. et.al. (2000 May 1). Identification and Management of Tuberculosis. American Family Physician [On-line journal]. Available online at http://www.aafp.org/afp/20000501/2667.html through http://www.aafp.org.

Sadovsky, R. (2001 May 15). Making the Diagnosis of Tuberculosis in Children. American Family Physician [On-line journal]. Available online at http://www.aafp.org/afp/20010515/tips/9.html through http://www.aafp.org.

Centers for Disease Control and Prevention (2002 August 13, Reviewed). Frequently Asked Questions, Questions and Answers about TB. National Center for HIV, STD and TB Prevention Division of Tuberculosis Elimination [On-line information]. Available online at http://www.cdc.gov/nchstp/tb/faqs/qa.htm through http://www.cdc.gov.

Tuberculosis. The Merck Manual of Medical Information--Home Edition [On-line information]. Available online at http://www.merck.com/pubs/mmanual_home/sec17/181.htm through http://www.merck.com.

Tan, L.J. (2000 June 28, Updated). ATS/CDC Statement Revises Treatment and Testing for Latent TB Infection. American Medical Association [On-line information]. Available online at http://www.ama-assn.org/ama/pub/article/1865-2125.html through http://www.ama-assn.org.

Mazurek, G. & Villarino, M. (2002 December 18 Updated). Guidelines for Using the QuantiFERON®-TB Test for Diagnosing Latent Mycobacterium tuberculosis Infection. Centers for Disease Control and Prevention Morbidity and Mortality Weekly Report [On-line report]. Available online at http://www.cdc.gov/mmwr/preview/mmwrhtml/di51cha1.htm through http://www.cdc.gov.

Centers for Disease Control and Prevention (2002 March 23, Reviewed). TB and HIV Coinfection. National Center for HIV, STD and TB Prevention, Division of Tuberculosis Elimination [On-line information]. Available online at http://www.cdc.gov/nchstp/tb/pubs/TB_HIVcoinfection/default.htm through http://www.cdc.gov.

Tuberculosis: Ancient Enemy Present Threat, "I must die": Tuberculosis in History. NAIAD [On-line information]. Available online at http://www.niaid.nih.gov/newsroom/focuson/tb02/story.htm through http://www.niaid.nih.gov.

Tuberculosis (TB). American Lung Association [On-line information]. Available online at http://www.lungusa.org/diseases/lungtb.html through http://www.lungusa.org.

(2002 January). American Lung Association® Fact Sheet: Tuberculosis. ALA [On-line information]. Available online at http://www.lungusa.org/diseases/tbfac.html through http://www.lungusa.org.

(2002 January). American Lung Association® Fact Sheet: Tuberculosis Skin Test. ALA [On-line information]. Available online at http://www.lungusa.org/diseases/tbskinfac.html through http://www.lungusa.org.

(2002 January). American Lung Association® Fact Sheet: Pediatric Tuberculosis. ALA [On-line information]. Available online at http://www.lungusa.org/diseases/pedtbfac.html through http://www.lungusa.org.

NIAID (1999 December 1, Updated). The Global Burden of Tuberculosis. National Institute of Allergy and Infectious Diseases, National Institutes of Health [On-line publication]. Available online at http://www.niaid.nih.gov/publications/blueprint/page2.htm through http://www.niaid.nih.gov.

Tuberculin skin test. Hendrick Health System AccessMed [On-line information]. Available online at http://www.hendrickhealth.org/healthy/00069330.html through http://www.hendrickhealth.org.

Tuberculosis. Hendrick Health System AccessMed [On-line information]. Available online at http://www.hendrickhealth.org/healthy/00069340.html through http://www.hendrickhealth.org.

Mycobacteriology, Introduction to the Genus Mycobacteria. Microbiology Public Health for Northern Alberta, Bugs on the Web [On-line information]. Available online at http://www2.provlab.ab.ca/bugs/mycob/mbintro.htm through http://www2.provlab.ab.ca.

Mycobacteriology, Acid-Fast Staining Procedures for Mycobacteria. Microbiology Public Health for Northern Alberta, Bugs on the Web [On-line information]. Available online at http://www2.provlab.ab.ca/bugs/mycob/afb_stain/afb_tutorial.htm

Hall, G. (2001). Practical Microbiology, Update on Broth Media for the Isolation of Mycobacterium Species. Medscape from Infect Med 18(1):28-30, 2001 [On-line journal]. Available FTP: http://www.medscape.com/viewarticle/410131 through http://www2.provlab.ab.ca.

Tuberculin Purified Protein Derivative (Mantoux) Tubersol. Aventis Pasteur Inc. (Swiftwater, PA) [Package Insert].

(1996 October 28, Rev L). AccuProbe, Mycobacterium Tuberculosis Complex Culture Identification Test. Gen-Probe [Package Insert]. Available online at http://www.gen-probe.com/mtd.html through http://www.gen-probe.com.

(2006 November 3). Notice to Readers: Revised Definition of Extensively Drug-Resistant Tuberculosis. CDC MMWR 55(43);1176 [On-line information]. Available online at http://www.cdc.gov/mmwr/preview/mmwrhtml/mm5543a4.htm through http://www.cdc.gov. Accessed December 10, 2006.

(2006 April). Tuberculosis: General Information. National Center for HIV, STD, and TB Prevention, Division of Tuberculosis Elimination Fact Sheet [On-line information]. Available online at http://www.cdc.gov/nchstp/tb/pubs/tbfactsheets/250010.htm through http://www.cdc.gov. Accessed December 10, 2006.

(2006 March, Revised). Tuberculosis. World Health Organization [On-line information]. Available online at http://www.who.int/mediacentre/factsheets/fs104/en/index.php through http://www.who.int. Accessed December 10, 2006.

(2006 March). Tuberculosis. Accessed December 10, 2006. NIAID Fact Sheet [On-line information]. Available FTP: http://www.niaid.nih.gov/factsheets/tb.htm

(2006 April). Diagnosis of Tuberculosis Disease. National Center for HIV, STD, and TB Prevention, Division of Tuberculosis Elimination Fact Sheet [On-line information]. Available online at http://www.cdc.gov/nchstp/tb/pubs/tbfactsheets/250102.htm through http://www.cdc.gov. Accessed December 10, 2006.

Pagana, Kathleen D. & Pagana, Timothy J. (© 2007). Mosby's Diagnostic and Laboratory Test Reference 8th Edition: Mosby, Inc., Saint Louis, MO. Pp 955-957.

Moore, DAJ et al. Microscopic-Observation Drug-Susceptibility Assay for the Diagnosis of TB. New England Journal of Medicine 2006;355:1539-1550.

Forbes BA, Sahm DF, Weissfeld AS, Bailey & Scott's Diagnostic Microbiology 12th Edition: Mosby Elsevier, St. Louis, MO; 2007, Pp 478-508.

Centers for Disease Control and Prevention (July 1, 2010 Reviewed). Diagnosis of Tuberculous Disease. Available online at http://www.cdc.gov/tb/publications/factsheets/testing/diagnosis.htm through http://www.cdc.gov. Accessed January 2011.

Centers for Disease Control and Prevention. Updated Guidelines for the use of Nucleic Acid Amplification Tests in the Diagnosis of Tuberculosis. MMWR January 16, 2009 / 58(01); 7-10.  Available online at http://www.cdc.gov/mmwr/preview/mmwrhtml/mm5801a3.htm?s_cid=mm5801a3_e through http://www.cdc.gov. Accessed January 2011.

Herchline, T (December 17, 2010). Tuberculosis. eMedicine article. Available online at http://emedicine.medscape.com/article/230802-overview through http://emedicine.medscape.com. Accessed January 2011.

(Jan. 29, 2009) Mayo Clinic. Tuberculosis. Available online at http://www.mayoclinic.com/health/tuberculosis/DS00372 through http://www.mayoclinic.com. Accessed January 2011.

(November 12, 2010) National Institute of Allergy and Infectious Diseases. Tuberculosis (TB). Available online at http://www.niaid.nih.gov/topics/tuberculosis/Pages/default.aspx through http://www.niaid.nih.gov. Accessed January 2011.

(November 2010) World Health Organization. Tuberculosis Fact Sheet. Available online at http://www.who.int/mediacentre/factsheets/fs104/en/index.php through http://www.who.int. Accessed January 2011.

Boehme C, et. al. Rapid Molecular Detection of Tuberculosis and Rifampin Resistance. N Engl J Med 2010; 363:1005-1015. Available online at http://www.nejm.org/doi/full/10.1056/NEJMoa0907847 through http://www.nejm.org. Accessed January 2011.

Minion J, Leung E, Menzies D, Pai M. Microscopic-observation drug susceptibility and thin layer agar assays for the detection of drug resistant tuberculosis: a systematic review and meta-analysis. Lancet Inf Dis, 2010 Oct;10(10):688-98. Epub 2010 Aug 31. Available online at http://www.ncbi.nlm.nih.gov/pubmed/20813587 through http://www.ncbi.nlm.nih.gov. Accessed January 2011.

از متخصصین آزمایشگاهی بپرسید

 

 

سوالات شما توسط همکاران ما به صورت یک خدمت داوطلبانه، پاسخ داده خواهد شد. برای این موضوع همواره می‌توانید بر روی کلید تماس با متخصصین کلیک کنید.