کمک به بررسی یا تشخیص بیماری یا شرایط تاثیرگذار بر مغز استخوان یا تولید سلول خون؛ گاها برای بررسی غدد بافت لنفاوی؛ بررسی پاسخ به یک درمان برای شرایطی مثل بیماری سرطان خون
نمونه برداری از مغز استخوان
زمانیکه شما بیماری کم خونی بدون علت قبلی داشته باشید؛ زمانیکه مبتلا به یک اختلال خونی یا سرطانی باشید که بر تولید سلول های خونی اثرگذار است؛ گاها زمانیکه پزشک در مورد بیماری تب با منشا ناشناخته در حال تحقیق و بررسی است بویژه زمانیکه شما دارای سیستم ایمنی تضعیف شده ای باشید (immunocompromised).
نمونه مغز استخوان عمدتا از لگن
هیچگونه آمادگی خاصی نیاز نیست
-
این آزمایش در چه مواردی کاربرد دارد؟
نمونه برداری از مایع و بافت مغز استخوان روش هایی برای ارزیابی و بررسی سلول های خونی درون مغز استخوان و نیز ساختار آن هستند. این روش ها همراه با برخی از آزمایشات مثل CBC و لکه خونی و نیز برخی آزمایشات دیگر برای ارائه اطلاعاتی درباره وضعیت سلامت مغز استخوان و توانایی آن برای تولید سلول خونی مثل گلبول های قرمز و سفید و پلاکت ها انجام می شوند.
با استفاده از اطلاعات حاصل از بررسی، نمونه برداری از مایع و بافت مغز استخوان را می توان در موارد زیر مورد استفاده قرار داد:
-تعیین علت کاهش یا افزایش سلولهای خون، مثل تعداد بسیار کم یا بسیار زیاد گلبول های سفید (لوکوپونی یا لوکوسیت)، تعداد بسیار کم یا بسیار زیاد گلبول های قرمز (کم خونی یا پلی سیتمی) یا تعداد بسیار کم یا بسیار زیاد پلاکتها (ترومبوسیتوپنی)
- تعیین علت سلول های خونی ناهنجار در خون که توسط CBC یا لکه خونی مشخص شده اند
-نتشخیص و طبقه بندی منشا سرطان در مغز استخوان (مثل سرطان خون، تومور بدخیم مغز استخوان)
-تشخیص اختلالات دیگر مغز استخوان مثل سندرم MDS
-تشخیص بسیاری از سرطان های دیگر مثل سرطان غدد لنفاوی یا تومور ها که ممکن در مغز استخوان نفوذ کرده باشند
-تشخیص شرایطی که بر ساختار مغز استخوان تاثیرگذار است مثل میلوفیبروزیس
-ارزیابی عفونت مغز استخوان در شرایطی که فرد تب با علت ناشناخته داشته باشد
-تشخیص اختلال مرتبط با ذخیره آهن که می تواند منجر به کاهش آهن ذخیره شده شود
اگر شخص برای سرطان مورد آزمایش قرار بگیرد، آزمایش نمونه برداری از مایع و یا بافت مغز استخوان برای ارزیابی پاسخ به درمان و بازگشت کارکرد طبیعی مغز استخوان درخواست داده می شود. -
این آزمایش در چه زمانی درخواست داده میشود؟
بررسی مغز استخوان بطور روتین درخواست داده نمی شود. با اینحال، زمانیکه نتایج آزمایشات دیگر مثل CBC و یا لکه خونی نشان از ناهنجاری داشته باشد، آزمایش مغز استخوان برای تایید اجرا می گردد.
آزمایش مغز استخوان در زمانیکه پیشینه پزشکی فرد، بررسی های فیزیکی و علائم و نشانه ها حاکی از وجود بیماری تاثیرگذار بر مغز استخوان باشد، درخواست داده می شود.
این آزمایشات در زمان بروز سرطان یا تردید نسبت به گسترش سرطان به مغز استخوان درخواست داده می شود.
نمونه برداری از مایع و بافت مغز استخوان همچنین ممکن است زمانیکه فرد بدلیل سرطان بستری شده باشد، برای پاسخ به درمان های مرتبط و اینکه مغز استخوان در اثر درمان تحت تاثیر قرار گرفته باشد، درخواست داده می شود. -
نتایج این آزمایش چگونه تفسیر میشود؟
گزارش ازمایشگاه برای این آزمایشات شامل توصیفی از مشاهدات سلولی و ظاهر محیط مغز استخوان است. نتایج ناشی از آزمایش CBC و لکه خون نیز اغلب ضمیمه می شود. عموما، متخصص تفاسیری از یافته ها و دیگر جزئیات را که ممکن است در تشخیص یا درمان موثر باشد، ارائه می کند.
در بسیاری از موارد، این اطلاعات می توانند یک تشخیص را تایید کرده یا آن را رد نمایند و اینکه مشخص کنند که آیا مغز استخوان تحت تاثیر بیماری قرار گرفته یا خیر، اما این آزمایشات همچنین می توانند لزوم تحقیقات و بررسی های بعدی را نیز مشخص سازند. برای مثال یک بیمار با کاهش تعداد گلبول های قرمز و فقدان افزایش در تعداد رتیکولوسیت ها ممکن است مبتلا به کم خونی آپلاستیک با کاهش تولید RBC در مغز استخوان باشد. بررسی مغز استخوان می تواند این شرایط را تایید کند اما ضرورتا در مورد علت خاص این بیماری اطلاعاتی ارائه نمی دهد.
پزشک با استفاده از اطلاعات ارزیابی مغز استخوان و ترکیب آنها با بررسی های بالینی، پیشینه پزشکی، آزمایشات خون و آزمایشات دیگر مثل تصویربرداری و اشعه ایکس به تشخیص جامعی می رسد. این تشخیص می تواند یک روند مستقیم یا مبهمی داشته باشد. بیماران باید در این فرِآیند قبل و بعد از نمونه برداری از مایع و بافت مغز استخوان حضور داشته باشند و در مورد اطلاعات مورد نیاز و آزمایشات دیگر از پزشک خود سوال کنند.
برخی از اختلالات و شرایط ممکن است تعیین شده، مورد نظارت قرار گیرند و یا در این فرآیند مشخص گردند. مثالهایی از این موارد:
-لوسمی- سرطان سلول های خونی
-آنمی- تعداد کم گلبول های قرمز و کاهش هموگلوبین
-بیماری هایی مثل کم خونی آپلاستیک که می تواند بر توانایی مغز استخوان در تولید تعداد مشخصی از سلولهای خونی و آزادسازی آنها به جریان خون تاثیرگذار باشد.
-سندرم میلودیسپلاستیک- گروهی از اختلالات مرتبط با سوءکارکرد مغز استخوان که منجر به کاهش تعداد یک یا چند نوع از سلول های خونی می شود
-نئوپلاسم- گروهی از بیماری های مرتبط با تولید تعداد بسیار زیادی از سلول های خونی در مغز استخوان (مثل سرطان میلوئید مزمن، پلی سیتمی)
-میلوفیبروزیس- اختلال ناشی از رشد بیش از حد شبکه های فیبروزی در مغز استخوان که منجر به تغییراتی در شکل گلبول های قرمز و تغییر در تعداد سلول ها می شود -
آیا اطلاعات بیشتری برای بیمار مورد نیاز است؟
عوارش ناشی از فرآیند نمونه برداری از بافت و مایع مغز استخوان نادر بوده اما می تواند منجر به خونریزی های شدید در محل نمونه برداری یا عفونت شود. افراد باید در مورد آلرژی های خود در مورد هر دارو قبل از مصرف آن با پزشک مشورت کرده و در صورتی که با قرمزی پوست یا خونریزی، تب یا درد شدید شدند با پزشک تماس حاصل کنند.
-
آیا من برای انجام نمونه برداری از بافت یا مایع مغز استخوان در حالت بیهوشی خواهم بود؟
در محل هدف برای نمونه برداریف بی حسی موضعی انجام خواهد شد اما بی هوشی اغلب برای افراد بالغ نیاز نیست (با اینکه برای کودکان رایج است). با اینحال شما ممکن است قبل از عمل آرام بخش دریافت کنید.
-
گزارش من حاوی نسبت M/E است، این نسبت به چه معناست؟
M/E حالت اختصاری نسبت میلوئید به اریتروئید است. این نشانگر تعداد سلول های میلوئید در مقایسه با سلول های اریتروئید درون مغز استخوان است. سلول های میلوئید، سلول هایی هستند که به گرانولوسیت ها (نوتروفیل، ایزوفیل، بازوفیل) تبدیل شده و سلول های منشا اریتروئید به گلبول های قرمز تبدیل می شوند. این نتیجه نشانگر شرایطی نبوده اما بعنوان اطلاعاتی است که پزشک می تواند برای تعیین وضعیت سلامت مغز استخوان از آن استفاده کند. برای مثال در مورد عفونت باکتریایی، نسبت به M/E بدلیل افزایش تعداد سلول های گرانولوسیت افزایش یافته و در مورد کم خونی همولیتیک، این نسبت بدلیل افزایش سلول های اریتروئید، کاهش می یابد.
-
چگونه نمونه برداری از مایع و یا بافت مغز استخوان را می توان با جمع آوری مغز استخوان برای اهدای عضو مقایسه کرد؟
امروزه بجای جمع آوری مغز استخوان برای اهدا، به اهداکنندگان سلول های بنیادین دارویی داده می شود که مغز استخوان آنها را برای انتشار سلول های نابالغ به خون تحریک می کند. بعد از این فرآیند، سلول های بنیادین در نمونه اهدا کننده گردآوری شده و به جریان خون گیرنده و فضاهای مغز استخوان وی تزریق می شود و شروع به تولید گلبول های قرمز، گلبول های سفید و پلاکتها خواهد کرد.

سلول های بنیادین در مغز استخوان به یکی از سلول های خونی تکامل می یابند.

Image credit: Chuanyi Mark Lu MD, PhD
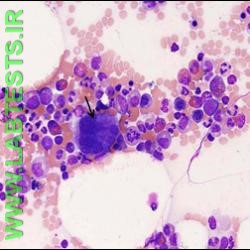
لکه مایع مغز استخوان که نشانگر تنوع سلول های خونی در مراحل مختلف تبدیل و تکامل آنهاست. مگاکاریوست بزرگ در تصویر مشخص است.

Courtesy: Chuanyi Mark Lu MD, PhD and Karen Chisholm MD
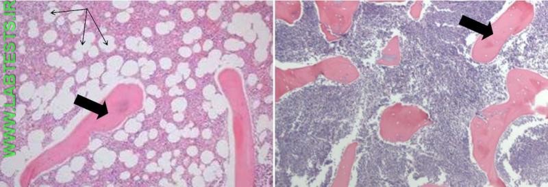
بخش مقطعی از نمونه های هسته مغز استخوان که نشانگر ساختار و اجزای مختلف آن است. در یک مغز استخوان نرمال (چپ)، استخوان ضخیم و سلول های چربی که سلول های خون ساز از آنها عبور می کنند، مشخص شده است. در نمونه برداری از یک بیمار مبتلا به سرطان خون (راست)، سلول های چربی و سلول های طبیعی مغز استخوان با سلول های سرطانی جایگزین شده اند که به نظر تیره تر می آید که این بدلیل هسته های بزرگ آنهاست.